adjective تحميل 🔗مشاركة مختلف الألوان Having more than one colour; relating to heterochromia Examples : "The cat's eyes were heterochromatic, one green and one blue. " كانت عيون القطة مختلفة الألوان، واحدة خضراء وأخرى زرقاء. color appearance medicine physiology دردشة مع الذكاء الاصطناعيلعبة المفرداتتدريب القراءة
adjective تحميل 🔗مشاركة مختلف الألوان Of light, having more than one wavelength Examples : "The white light from the office lamp is heterochromatic, composed of many different colors blended together. " الضوء الأبيض من مصباح المكتب مختلف الألوان، يتكون من العديد من الألوان المختلفة الممزوجة معًا. physics color science دردشة مع الذكاء الاصطناعيلعبة المفرداتتدريب القراءة
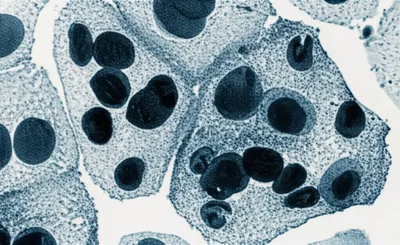
adjective تحميل 🔗مشاركة متعلق بالهتروكروماتين Of or relating to heterochromatin Examples : "The heterochromatic regions of the chromosome stain darker than the euchromatic regions under a microscope. " تصبغ المناطق المتباينة اللون من الكروموسوم أغمق من المناطق الصبغية الحقيقية تحت المجهر. biology medicine biochemistry color دردشة مع الذكاء الاصطناعيلعبة المفرداتتدريب القراءة