

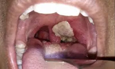
diphtheria
Định nghĩa
A serious infectious disease which causes inflammation of mucous membranes of the upper respiratory tract caused by Corynebacterium diphtheriae.
Từ liên quan
infectious adjective
/ɪnˈfɛkʃəs/
Truyền nhiễm, lây nhiễm.
"Cancer is not infectious."
Ung thư không phải là bệnh truyền nhiễm, nghĩa là nó không lây từ người này sang người khác.
corynebacterium noun
/ˌkɔːriˌnaɪbækˈtɪəriəm/ /ˌkɒrɪˌnaɪbækˈtɪəriəm/
Trực khuẩn Corynebacterium.
inflammation noun
/ɪnfləˈmeɪʃən/
Viêm, sự viêm nhiễm.
especially adverb
/əˈspɛʃ(ə)li/